Как можно вылечить свищ на десне
Безусловно, мы лечим это, мы занимаемся этим, мы для этого работаем. Для того, чтобы вылечить свищ на десне, в первую очередь, нам следует устранить причину, из-за которой возник свищевой ход. Мы не должны бороться с самим прыщом, мазать его разными мазями и примочками, а должны устранить причину его возникновения. Мы должны устранить само хроническое воспаление, которое привело к этому свищу.
Первый вариант лечения свища — эндодонтический
Для такого лечения проводим пациенту высококлассное эндодонтическое лечение под микроскопом, когда:
- виден сам канал зуба,
- видны его ответвления
- и видно, есть ли трещины в канале зуба.
Наши доктора на высоком уровне проводят под микроскопом манипуляции именно по малоинвазивному лечению. Лечению процессов, которые привели к свищу, к свищевому ходу на десне, к осложнениям различного периодонтита. На видео — эндодонтист НИЦ, победитель многих международных конкурсов по эндодонтии и реставрации зубов Меликов Азер:
В клиниках Немецкого Имплантологического Центра используются специальные материалы, которые герметизируют апикальную часть очень хорошо и на длительный период, которые имеют биосовместимость с тканями, окружающими зуб и которые дают очень хороший результат.
То есть у нас есть терапевтический метод лечения — это раз. Когда высококлассные эндодонтисты при помощи микроскопов, специального оборудования и специальных материалов проводят терапию каналов и устраняют причину по которой возник свищ.
Второй вариант лечения свища — смешанный
Второй метод — это смешанное лечение, когда лечение ведут совместно терапевт и хирург. Если поражение уже достаточно сильное, произошел лизис определенной части верхушки корня, когда уже процесс идет достаточно длительно, то терапевт прочищает каналы:

герметизирует апикальную часть корня специальным материалом, а хирург уже открывает -делает хирургическим доступом и заполировывает апикальную часть корня зуба.
Мы не делаем резекции зубов, когда зуб спиливается наполовину. Зачастую думаешь, вот у меня часто пациенты приходят, которым сделали резекцию и думаешь человеку отпилили ⅔ корня и этот зуб уже несостоятелен, он еле держится, и для чего это надо было делать? Мы делаем малоинвазивно. Мы полируем специальными ультразвуковыми насадками апикальную часть корня, после того, как терапевт проведет лечение, и получаем очень хорошие отдаленные результаты.
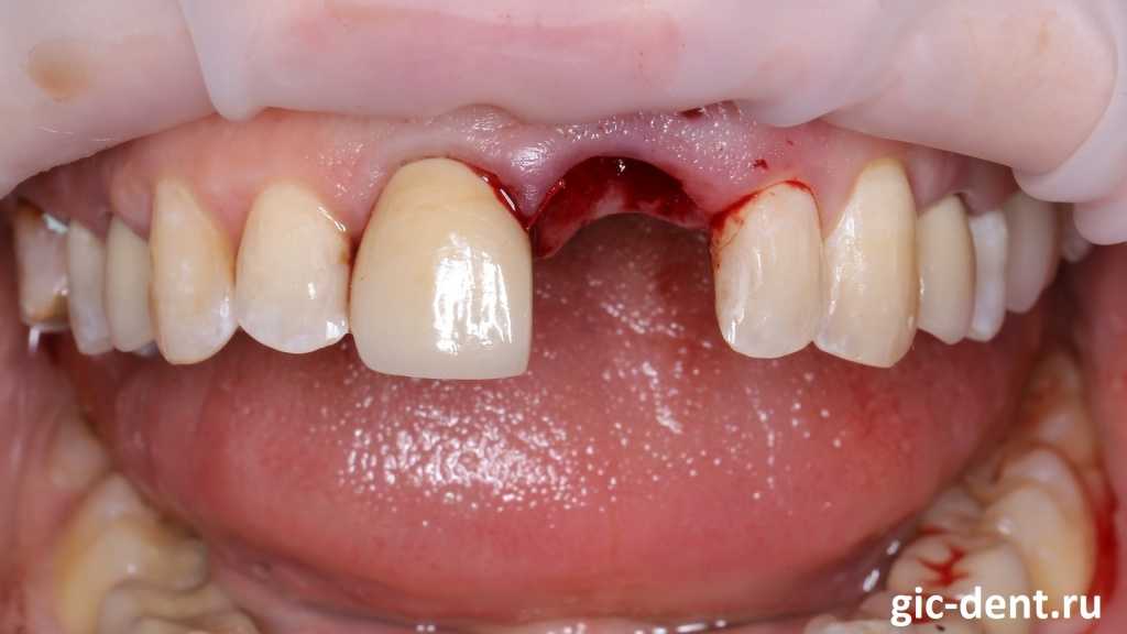
Третий вариант лечения — хирургический
Также есть хирургический метод — это третий метод лечения, когда воспаление уже хроническое по принципу “Нету зуба — нет ни кариеса, не периодонтита, нет ничего”. То есть удаляется зуб, удаляется очаг воспаления:

и на место зуба ставится имплантат:

Последующая реабилитация пациента идет уже на имплантате.
Четвертый вариант лечения — аутотрансплантация
Аутотрансплантация — разновидность третьего, хирургического варианта лечения. Но в качестве импланта выступает собственный зуб-донор пациента. Как правило, на эту роль отлично подходят зубы мудрости, которые не участвуют в процессе пережевывания пищи и фактически являются резервом организма именно для подобных случаев. Пересадка зубов мудрости подходит для жевательных зубов и премоляров (четвертые, пятые, шестые и седьмые зубы).
Преимущество данного способа лечения в том, что пересаживается собственный зуб, собственная ткань пациента, которая не является чужой для организма даже в условиях воспалительного процесса при свище, значительно снижается риск отторжения зуба-импланта. Специалистами Немецкого Имплантологического Центра накоплен многолетний клинический опыт подобных операций. О том, как проходит операция аутотрансплантации вы можете посмотреть в следующем видео. Там же, в конце фильма, пациент делится впечатлениями о пересадке зубов (это отзыв спустя 1 год после операции пересадки):
Причины вывиха
Вывих может произойти в любом суставе. Типичная ситуация возникновения вывиха – травма. Так, вывих происходит, если движение в суставе оказывается чрезмерным (выходящим за пределы нормальной подвижности). Как правило, это – принудительное движение (например, в результате падения: человек падает на отведенную назад руку и получает вывих плеча). Также к вывиху может привести удар в область сустава. Вывихи, возникшие по причине травмы, называются травматическими.

Вывих может иметь и нетравматическое происхождение. В этом случае он обусловлен разрушением суставных концов костей в результате таких заболеваний, как полиомиелит, остеомиелит, артрит, артроз, туберкулёз. Подобные вывихи называются патологическими.
Выделяют также врожденные вывихи. Патология в этом случае возникает ещё на внутриутробном этапе развития плода.
Особо рассматривают так называемые привычные вывихи. Привычным вывихом называется вывих, возникающий в одном и том же суставе даже при небольшом травматическом воздействии. Это происходит по причине слабости суставного аппарата (капсулы, связок, мышц) или изменения конфигурации суставных поверхностей. В большинстве случаев привычный вывих возникает в случае, если после вправления травматического вывиха суставу была слишком рано возвращена подвижность.
Симптомы при прорезывании зубов
В большинстве медицинских справочников симптомы при прорезывании зубов делятся на две группы – первичные и вторичные. Первые признаки прорезывания зубов появляются за 3-5 дней до непосредственного момента прорезывания. Среди этих признаков отмечаются следующие моменты:
- Дёсны малыша начинают опухать, наблюдается покраснение
- Повышается слюноотделение
- Ребёнок становится раздражительным, отказывается от еды, плохо спит
- На лице ребёнка появляется сыпь, особенно – вокруг рта
- У ребёнка повышается желание кусать разные предметы – признак зуда дёсен
Повышение желания кусать разные предметы — признак зуда дёсен
Вторичные симптомы прорезывания зубов у грудничков – это уже более серьёзные факторы, которые могут быть симптомами других проблем, связанных с полостью рта. Среди таких симптомов:
- Высокая температура
- Гематомы на дёснах рядом с местом прорезывания зуба
- Рвота
- Насморк и кашель
Стоит также отметить, что некоторые из вторичных симптомов могу быть признаками респираторного заболевания, которые при слабом иммунитете малыша – частое явление именно на этапе прорезывания первых зубов.
Почему краснеют глаза
Под покраснением глаз обычно понимают покраснение склеры – белковой оболочки глаза. Склера содержит значительное количество капилляров – мельчайших кровеносных сосудов. Обычно они незаметны, но под воздействием ряда обстоятельств кровеносные сосуды склеры могут расширяться, стенки сосудов при расширении растягиваются, и тогда мы их видим, вернее, видим наполняющую сосуды кровь. Кровь красного цвета, поэтому глаза выглядят покрасневшими.
В большинстве случаев расширение сосудов склеры вызвано резким усилением кровообращения. Так организм отвечает на достаточно широкий круг проблем. Кровь – это внутренний транспорт, с помощью которого доставляются питательные вещества, удаляются токсины. Приток крови способствует повышению местной иммунной защиты, ускоряет заживление. Во многих случаях покраснение глаз довольно быстро проходит; это означает, что кровоснабжение склеры нормализовалось. Если покраснение сохраняется длительное время, то, очевидно, проблема, которая его вызвала, достаточно серьёзна.
Лечение
В зависимости от выявленных причин скрежета зубов у молодняка назначается лечение. Если подобный симптом вызван недостатком питательных веществ в организме животного, рекомендуется изменение режима питания.
При паракератозе рубца телятам необходимо начать вводить в рацион грубые корма. Больному животному также дают витамин А и жжёную магнезию.
Лечение скрипа зубов при гастроэнтерите имеет совсем иную схему. В первые два дня животное не кормят, а только предлагают питьё. Потом аккуратно начинают вводить в рацион ацидофильное молоко, толокно из овса и свежий обрат. Если симптомы болезни ослабевают, больного телёнка постепенно переводят на обычный режим кормления.
Ацидофильное молоко для больного теленка
Если диагностирована беломышечная болезнь, лечение проводится при помощи подкожных инъекций селена и токоферола. Параллельно с этим рекомендуется симптоматическая терапия. Если поражено сердце, есть признаки сердечной недостаточности, назначают камфорное масло и кордиамин. При признаках присоединения инфекции проводится антибактериальная терапия.
Скрип зубов у телят не всегда является признаком тяжёлого недуга. За ветеринарной помощью стоит обратиться, если у молодой особи наблюдаются и другие симптомы – слабость, залёживание, мышечная дрожь, диарея, потеря аппетита. Если животное не набирает вес или прирост массы происходит слишком медленно, тоже стоит пригласить ветеринара для осмотра. На основании клинической картины и проведённых лабораторных исследований животному будет назначена схема лечения.
Это паразит?
Согласно одной научной теории, веревочные черви являются разновидностью паразитов. В 2013 году исследователи опубликовали статью, в которой описали пять различных стадий жизни веревочного червя. Согласно статье, которая не прошла рецензирование, веревочный червь может начать формирование практически в любой части тела, но в конечном итоге он мигрирует в кишечник. На начальных стадиях червь состоит из слизи. На пятой и последней стадии червь напоминает единую нить вязкой слизи длиной около 1 метра.
В другой статье 2013 года та же исследовательская группа утверждает, что веревочный червь использует пузырьки для передвижения. Авторы исследования считают, что пузырьки создают условия для всасывания, которые помогают червю прикрепиться к стенке кишечника, предотвращая его выход из организма во время дефекации. Однако других исследований веревочных червей не существует, поэтому подтвердить эти теории не представляется возможным.
Лечение
Если выявленные причины связаны с неправильным питанием, то меняется рацион, добавляются витамины, минералы и сбалансированные корма. Составляются правильные пропорции грубых и молотых кормов.
- Гастроэнтерит – требуется двухдневное голодание и выпаивание подсоленной водой. Постепенный переход на полноценное питание, начинающееся со свежего обрата и размолотого овса.
- Беломышечная болезнь – обязателен вызов ветеринара, назначение медикаментозного и терапевтического лечения. Инъекции витаминов, селенит натрия и антибиотиков.
- Паракератоз рубца – необходимо увеличить количество грубых кормов. Нужна консультация врача. Лечение проводят жжёной магнезией, витаминами и гидрокарбонатом натрия.
Заболевшее животное изолируется и находится под постоянным контролем со стороны владельца.
Почему теленок скрежет зубами

Майя Барсукова • 29.05.2021
Наблюдение за телятами в первые недели после появления на свет важно. В этот период происходит формирование органов, систем и организма маленького теленка, приучение к рациону жвачного животного
Большое значение имеет правильное развитие пищеварительного тракта.
Когда теленок скрипит зубами, следует проверить качество корма. Иногда частицы грунта или песка попадают на зубы. В других случаях, это может быть врожденный жвачный рефлекс в отсутствии жевательной пищи. Если теленок скрипит зубами и ничего не ест, проблема кроется в патологии ЖКТ.
Причины скрипа зубов у телят
При серьезных заболеваниях, когда необходима помощь ветврача, скрип зубами сопровождается другими тревожными симптомами:
- понос;
- температура;
- слабость;
- отсутствие аппетита;
- пена изо рта.
Скрежет зубов при ненадлежащем содержании и плохом питании может быть признаком паракератоза рубца – желудка, гастроэнтерита и беломускульной болезни – миопатии.
Диагностика скрипа зубов
Когда замечено, что теленок скрипит зубами, точно определить заболевание можно только по лабораторным анализам. Обычно ветеринар назначает диагностические исследования:
- анализ крови;
- анализ мочи;
- определение уровня гистамина – при паракератозе рубца показатель высокий.
В результатах анализа крови обращается особое внимание на содержание белка и эритроцитов. При беломускульной болезни их количество меньше нормы
В моче болезнь подтверждается кислой реакцией среды и присутствием белка.
Что делать хозяину
Если хозяин заметил, что один из его телят скрипит зубами, первое, что он должен сделать – проверить корм на наличие посторонних веществ либо мусора. Корм должен быть сбалансированным и качественным. В рационе должны присутствовать грубые корма, витамины и пробиотики.
Если кроме зубного скрипа теленок поносит, не встает, не желает есть и пить
Требуется консультация ветврача. Запускать болезнь опасно. Все заболевания, сопровождающиеся скрипом зубами у телят, в отсутствие лечения ведут к гибели с вероятностью 90%.
Готовые средства
Для лечения паракератоза рубца назначают лекарственные препараты:
- инъекции препаратов с витамином А – «Тривитамин» и др;
- добавки к корму с цинком и другими минералами и витаминами;
- гидрокарбонат натрия.
Гастроэнтерит лечат такими готовыми средствами как:
- энтеросорбентами;
- спазмолитиками;
- противомикробными лекарствами.
Против беломышечной болезни помогают:
- подкожные или внутримышечные инъекции витаминов А, Е;
- препараты, содержащие селен;
- антибиотики.
Неприятный запах изо рта: физиология или болезнь?
Неприятный запах изо рта на языке медицины называется галитоз. Различают физиологический и патологический галитоз. Запах изо рта часто проявляется по утрам. За ночь во рту скапливаются бактерии и продукты их жизнедеятельности, которые и вызывают дурной запах. Такой галитоз является физиологическим и устраняется простой чисткой зубов. Также к физиологическому галитозу относится запах, обусловленный приёмом в пищу ряда продуктов, таких как чеснок, лук, капуста. Этот запах исчезнет сам, как только вещества, которые его вызвали, выведутся из организма. Но бывает и так, что неприятный запах не устраняется с помощью гигиенических процедур, в этом случае, скорее всего, он имеет патологическую природу.
Причины
Есть множество причин, по которым поросенок не встает на задние ноги. Это состояние может возникнуть не только у молодняка, но и у взрослых особей. Чаще всего тревожный симптом сопровождает тяжёлые инфекционные заболевания или появляется, когда в организме животного ощущается недостаток витаминов или микроэлементов. Если свинья перенесла сильный стресс, у неё тоже могут отказать ноги. Рассмотрим список причин возникновения данного симптома детально:
- Грипп.
- Анемия.
- Полиомиелит.
- Недостаток витаминов.
- Болезнь Тешена.
- Стресс.
Грипп
Грипп – вирусное заболевание, которое распространяется очень быстро. Основные вспышки наблюдаются в холодное время года. Возбудитель болезни принадлежит к роду ортомиксовирусов. При внедрении в организм животного вирусы обнаруживаются преимущественно в слизистом секрете бронхов, лёгких и трахеи, выделениях из носовых ходов, в небольшой концентрации – в крови и моче больных особей. Если болезнь протекает в тяжёлой форме, вирусы проникают и в желчный пузырь, селезёнку.
Источником заражения являются особи-вирусоносители и больные свиньи, основной путь распространения инфекции – воздушно-капельный. Симптомы гриппа у свиней:
Симптомы гриппа у свиней
- Повышение температуры до 41,5-42 градусов.
- Слабость.
- Угнетение, потеря аппетита.
- Истечение слизи из носа, носовое кровотечение.
- Затруднённое дыхание, кашель, чихание.
- Синюшность кожи в области брюха.
- Расстройства пищеварения.
- Свинья падает на задние ноги, так как поражаются суставы и мышцы.
Анемия
Недостаток железа у поросят вызывает анемию. Свиноматка не в состоянии обеспечить новорождённых этим элементом в достаточной мере, поэтому уже к 10 дню после родов у сосунов наблюдается дефицит железа в крови. Вот почему через несколько дней после появления на свет поросятам колют железосодержащие препараты. Если этого не сделать, вскоре появятся симптомы анемии:
- Потеря аппетита, неохотное сосание материнского молока.
- Вялость.
- Бледность кожи и слизистых оболочек.
- Истощение.
- Отёчность.
- Отставание в росте.
- Из-за слабости мышц поросята не встают на задние ноги.
Полиомиелит (болезнь Тешена)
Это заболевание вызывает РНК-содержащий вирус, отнесённый к первому серотипу энтеровирусов, он поражает только свиней. При заражении прогноз неблагоприятный, почти все особи погибают от полного паралича.
Паралич у свиней
- В первые двое суток никаких проявлений болезни не наблюдается, за исключением потери аппетита, вялости и повышения температуры до 41,5 градусов.
- В дальнейшем температура нормализуется.
- Если поражён головной мозг, свиньи ведут себя возбуждённо, непроизвольно двигаются, тяжело дышат, возникает рвота, зубной скрежет, хрипота.
- При поражении спинного мозга симптомы иные – нарушается координация движений, животное падает на ноги, постоянно лежит, иногда совершает характерные плавательные движения. Вскоре наступает полный паралич.
Недостаток витаминов
При различных авитаминозах свиньи тоже нередко не теряют способность встать на ноги. Рассмотрим самые распространённые проблемы, связанные с недостатком витаминов, сопровождающиеся данным симптомом.
- Недостаток витамина D. Такой вид авитаминоза вызывает болезнь рахит, при котором у животных постепенно деформируются кости. В результате свиньи падают на ноги и почти не поднимаются.
- Нехватка витаминов А, Е и селена вызывает беломышечную болезнь. Для неё характерны симптомы – мышечная слабость, шаткая походка, поза сидячей собаки, лопатки выступают над позвонками, судороги.
- Недостаток витаминов группы В сопровождается расстройствами нервной системы и нередко вызывает паралич. Помимо прочего, о таком авитаминозе свидетельствует повышенная возбудимость, отставание в росте, истощение, выпадение шерсти.
Стресс
Свиньи – чувствительные животные. Они остро переносят различные перемены в обстановке, тяжело адаптируются к новым условиям. В результате длительного воздействия негативных факторов у них может наступить стрессовое состояние.
Стресс у поросят
Оно по-разному проявляется у каждой особи — некоторые животные беспорядочно движутся, беспокоятся, визжат. У других свиней может быть одышка, синеют кончики ушей, хвоста или пятачок (проявления сердечной недостаточности). В некоторых случаях отмечаются судороги или припадки.
Почему телёнок скрипит зубами
Вполне обычны случаи, когда животное издаёт зубовный скрежет, будучи абсолютно здоровым, просто в рот животного вместе со жвачкой попали примеси в виде песка или почвы. Те же звуки может издавать крупный рогатый скот, совершающий жевательные движения без пищи во рту.
Со всеми вышеперечисленными случаями животноводу легко справиться
Всего лишь нужно обратить внимание на рацион для питомцев: в пищу не должен попадать песок или почва
Все эти заболевания возникают или в первые несколько недель после рождения или, как паракератоз рубца, по достижении телёнком шестимесячного возраста. Основная причина большинства из них — нарушение правильного режима питания. Только беломышечная болезнь возникает и из-за дефицита микроэлементов, и из-за заражения вирусами.
Внешних симптомов заболевания для установления правильного диагноза бывает мало. Чтобы понять причину того, почему телёнок скрипит зубами, нужно проведение лабораторных анализов. Это особенно актуально при беломышечной болезни, которая на ранних стадиях трудно распознаётся.
Без анализов легко ошибиться в диагнозе, а без соответствующего лечения крупный рогатый скот часто гибнет. Вероятность летального исхода при отсутствии ветеринарной помощи составляет 60–90 %.
Для правильного определения диагноза необходимы такие анализы:
- Общий анализ крови — недостаточное количество эритроцитов и белка указывает на беломышечную болезнь.
- Общий анализ мочи — в моче есть белок, присутствует кислая реакция, повышено количество креатина; всё это указывает на то, что корова больна.
- Анализ на определение уровня гистамина в рубце — если его уровень высок, а также обнаружена кислая среда, это указывает на паракератоз рубца.
Ветеринарный врач в этих случаях назначает препараты: токоферол, селен, «Тривитамин», а также специальные белковые гидролизаты и аминокислоты с высоким содержанием серы.
Попадание песка в рот
На зубы скотине могут попасть песок или мелкие камушки, часто это происходит одновременно с принятием корма. Людям, держащим корову, знакомы ситуации, когда крупный рогатый скот объедает штукатурку со стен коровника. Случается также, что корова может жевать соломенную подстилку.
Столь необычные предпочтения в еде, скорее всего, говорят о нехватке кальция в организме, начинающемся рахите или же о необходимости внести разнообразие в рацион коровы. Желательно также регулярно осматривать телят, чтобы предупредить рахит. 
Отсутствие жвачки
Источником зубовного скрежета может быть и отсутствие жвачных кормов. Жевание — врождённый рефлекс крупного рогатого скота, при отсутствии пищи корова или телёнок всё равно продолжают жевать.
Видео: что делать если у коровы пропала жвачка
Паракератоз рубца
Симптомы паракератоза рубца:
- обильное слюноотделение;
- скрежетание зубами;
- вялая перистальтика кишечника;
- плохой аппетит;
- слабое сокращение рубца.
Гастроэнтерит
Симптомы гастроэнтерита:
- высокая температура;
- животное ослаблено;
- диарея, при которой испражнения крупного рогатого скота содержат слизь и кровяные сгустки.
Гастроэнтерит возникает при кормлении животных некачественными кормами:
- скисший обрат;
- заплесневелый хлеб, сено или другие испорченные корма.
Организм в этом случае прежде всего нуждается в очищении. Телёнка не кормят в течение 24–36 часов, в качестве питья животному предлагают тёплую воду (чуть-чуть подсоленную). По истечении этого времени малышу дают ацидофильное молоко, толокно из овса, свежий молочный обрат. Выздоровевшее животное в дальнейшем вовремя и правильно кормят.
Беломышечная болезнь
При беломышечной болезни происходит нарушение обмена веществ и прогрессирует дистрофия мышц, так как не усваиваются жиры, минеральные вещества и углеводы. Часто эта болезнь приводит к необратимым изменениям в мышцах сердца.
Симптомы этого заболевания:
- потеря сил животным до полной невозможности стоять на ногах;
- замутнённые глаза;
- расстройство желудка;
- зловонные испражнения;
- полная потеря аппетита.
Излечению крупного рогатого скота от беломышечной болезни способствуют витамины E и A, которые нужно вводить подкожно или внутримышечно с помощью инъекций. Также животному вводят внутримышечно препарат, содержащий селенит натрия.
Введение лекарств с селенитом натрия должно быть строго дозировано, так как передозировка грозит телёнку гибелью. Если на коже в местах инъекций возникают воспалительные процессы (абсцессы), скорее всего, ветеринар будет рекомендовать лечение антибиотиками.
Возможные причины
Если корова начала скрипеть челюстью, то возможно в ротовую полость попал инородный предмет, песок или земля. Корм перед подачей необходимо перетрусить и проверить его чистоту.
Если животное скрипит не всей челюстью, а зуб о зуб, то такое явление может сигнализировать о недостатке минералов и витаминов, поэтому необходимо разнообразить меню и напоить корову сывороткой.
Отсутствует жвачка
Коровы наделены сильным врождённым жевательным рефлексом. Это заставляет животное работать челюстями даже без корма, поэтому раздаётся скрип из-за отсутствия жвачки. У бурёнки всегда должно быть в свободном доступе сено.
Гнилой корм или испорченный силос может вызвать нарушение функции рубца и микрофлоры. Застрявшая и гниющая пища не поступает на жвачку и вызывает скрип челюстей. В этом случае вызывают ветеринарного врача и принимают ряд мер по очистке желудка.
Паракератоз рубца
Серьёзные заболевания, вызывающие скрип челюстей, всегда сопровождаются поносом и плохим общим состоянием животного. Недостаток в рационе грубых кормов приводит к паракератозу рубца. При этом заболевании воспаляется слизистая желудка, резко понижается кислотность, соски рубца грубеют и атрофируются, погибает микрофлора, пища перестаёт усваиваться организмом. Активно развиваются патогенные бактерии и появляются язвы.

Гастроэнтерит
Отсутствующий аппетит, понос и скрип зубов могут быть признаками гастроэнтерита. Причиной может послужить некачественное питание или отравление ядовитыми веществами.
Ветеринарный врач объясняет что делать, снимает спазм и проводит очищение организма. В это время поить животное надо подсоленной водой.
Беломышечная болезнь
Эта болезнь, сопровождающаяся скрипом зубов, выражается в том, что разрушается мышечная ткань животного. Страдает сердце, нарушается обмен веществ. У мышц красные волокна заменяются белой жировой или соединительной тканью, увеличивается сердце, воспаляются лёгкие и корова отекает.
Требуется немедленная помощь ветеринарного врача.
Беломускульная болезнь
Это заболевание получило название из-за того, что при его развитии красные мышечные волокна у маленьких телят замещаются соединительной или жировой тканью, которые, как известно, имеют белую окраску. Происходит это из-за критической нехватки в организме молодняка витаминов А, E и микроэлемента селен.
Симптоматика похожа на многие другие болезни: слабость и апатичность животного, скрип зубами, вздутие живота, испражнение жидкими вонючими массами. Еще одна отличительная особенность в клинических проявлениях: данному заболеванию сопутствует конъюнктивит. В тяжелых случаях — паралич отдельных частей тела.
В этой ситуации проводится симптоматическое лечение, которое должно быть направлено на облегчение состояния детеныша. Еще один шаг — нужно как можно быстрее восполнить дефицит недостающих веществ в организме.
Здесь не обойтись без инъекций витаминов А и Е внутримышечно или подкожно, препаратов с селеном, антибактериальных средств.
Болезнь крайне опасна, вероятность летального исхода составляет 60% и даже 90%. Часто это случается, если клинические признаки стерты, и не удается своевременно распознать заболевание.


















































